臨床検査用染色液・試薬及び顕微鏡用グラス、替刃等に貢献する武藤化学株式会社

ビクトリアブルー染色液

ビクトリアブルー染色液
ビクトリアブルー染色液
定価6,000

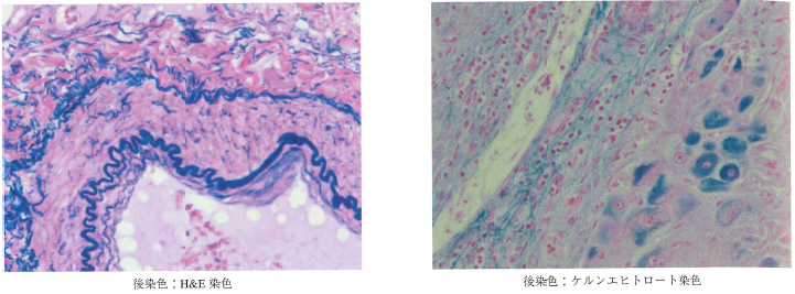
ビクトリアブルーはHBs抗原および弾性繊維を染める方法として広く用いられている。両者を青色に染め、後染色にはH&E染色、ワンギーソン染色、ケルンエヒトロート染色などが行なわれる。

JANコード4517715407728
品番40772
商品名ビクトリアブルー染色液
包装500ml
製造日数2
規制他危労P
使用期限1年

染色方法

?脱パラフィン、脱キシレン、水洗 
?酸化液10分
?流水水洗酸化剤の除去
?2%しゅう酸液で還元切片が白色になるまで
?流水水洗5分
?95%エタノールに馴染ませる 
?ビクトリア青染色液8~24時間
?70%エタノールで分別数秒
?流水水洗 
?ケルンエヒトロート液で後染色5分
?軽く水洗 
?素早く脱水、透徹、封入 

染色の注意点

・HBs抗原を目的とした場合は、酸化・還元を行う。これによりHBs抗原の染色性は良くなるが、後染色のヘマトキシリン染色およびエオシン染色が染まりにくくなるので注意が必要。この場合はケルンエヒトロートで核染色を行うと良い結果が得られる。
・ビクトリアブルー染色液の染色時間は8時間~24時間。不十分な場合は、再度、ビクトリアブルー染色液に入れる。
・ビクトリアブルー染色液はアルコールに易溶なので、分別時、後染色および脱水時に過剰に脱色しないよう注意が必要。
・過分別を行った場合には、ビクトリアブルー染色液にて再染色を行って下さい。

酸化液の調整

酸化液100mlに濃硫酸0.15mlを加え使用液とします。

染色結果

染色結果
HBs抗原、弾性繊維:茶色~茶褐色
核:青藍色

関連製品

製品カテゴリ

商品検索

キーワード

JANコード

品番

価格帯

 ~ 

製品カテゴリ