染色検討結果『核染色』
染色条件
核染色 : 2倍希釈ギルヘマトキシリンV使用、 染色時間 1分、2分、4分
分別 : 0.2%塩酸70%アルコール使用、 1分
色出し : 1.5%アンモニア水70%アルコール使用、 1分
*後染色のOG-6、EA50は、すべて同じ染色時間
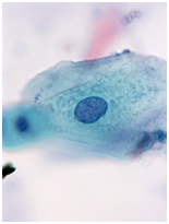
写真中央列が、推奨する核染色時間2分(後染色はOG-6:1分、EA50:2分で適正な染色時間)です。
写真左列の核染色時間1分では、染色が薄く核の観察には不適切と思われます。
写真右列の核染色4分では、背景も含め出現細胞全体が濃く染色されてしまうことにより核所見とくにクロマチン態度などの変化が分かりづらくなることや、細胞集塊など細胞の重なりがある部分においても詳細な観察が困難になり、細胞の良悪の判断において苦慮することから不適切と考えられます。
| ヘマトキシリン:1分 | ヘマトキシリン:2分(推奨) | ヘマトキシリン:4分 | |
|---|---|---|---|
| 弱拡大 | ![]() |
※![]() |
![]() |
| 強拡大 | ![]() |
※![]() |
![]() |
※推奨する染色条件の標本






