臨床検査用染色液・試薬及び顕微鏡用グラス、替刃等に貢献する武藤化学株式会社

HOME > new > 新製品情報 > HE染色用 Newヘマトキシリン Type R Newエオシン Type R

new

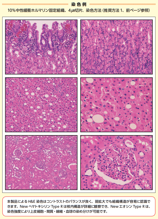
HE染色用 Newヘマトキシリン Type R Newエオシン Type R

  • LINEで送る
  • このエントリーをはてなブックマークに追加
HE染色用 Newヘマトキシリン Type R Newエオシン Type R

  • LINEで送る
  • このエントリーをはてなブックマークに追加

お問い合わせ

CONTACT

お問い合わせは、以下メールフォームまたはお電話からお寄せください。

お電話でのお問い合わせ

03-3814-5511

受付 / 平日9:00~17:00(土日祝除)

お問い合わせ・資料請求

お問い合わせはこちら

Copyright MUTO PURE CHEMICALS CO.,LTD. All Rights Reserved.